Invisalign®
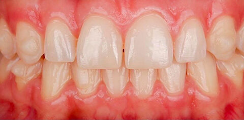
Invisalign® is a modern teeth-straightening system designed to address a wide range of orthodontic concerns with comfort, precision, and subtlety. At The Paddington Dental Surgery, we’re proud to have two certified Invisalign® providers – Dr. Lincoln Law and Dr. John Rosa Jr. – on our team of experienced Sydney dentists. When you come in for an initial consultation, we’ll carefully assess your smile and design a personalised Invisalign® treatment plan to suit your unique orthodontic needs. Continue reading for more information about Invisalign®.
Explore Topics On This Page:
What Is Invisalign®?
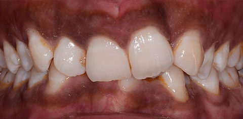
Invisalign® treatment uses a series of clear, removable aligners to gently guide your teeth into their ideal positions over time. This discreet approach can correct issues such as crowding, spacing, and various bite concerns (such as overbite, underbite, and crossbite) without the need for traditional braces. What’s more, the smooth, transparent aligners are custom-built to fit comfortably over your teeth, allowing you to achieve a straighter smile without the appearance or inconvenience of metal brackets and wires.
How Does Invisalign® Work?
The Invisalign® process involves a set of custom-made aligners that apply gentle pressure to the individual teeth that sit out of alignment. Each aligner moves the teeth a little bit closer over the course of one to two weeks, after which point you will move on to the next tray in the series. The number of aligners you will need to use will depend on your treatment plan, and we will discuss the anticipated time frame with you at your first appointment. The best way to stay on target with the goal is to wear the aligner for at least 22 hours a day, or whenever you are not eating or brushing your teeth.
What Benefits Can Invisalign® Offer?
In the hands of a certified Invisalign® provider, Invisalign® can be an effective option for patients who want to straighten their teeth without the drawbacks of metal braces. The treatment can address a wide range of issues and can suit the goals of many different types of patients.
While not every patient is an ideal candidate, Invisalign® is suitable for many people and frequently delivers remarkable results. At your consultation, we’ll assess your dental alignment and discuss your aesthetic dental goals. To more dramatically enhance your smile, you may opt to combine Invisalign® with treatments like porcelain veneers, teeth whitening, or gum reshaping.
How Does Invisalign® Compare with Traditional Metal Braces?
While traditional orthodontic procedures (namely metal braces) remain a reliable way to correct misalignment and bite issues, they can sometimes feel uncomfortable and make patients more self-conscious about their appearance. Invisalign®, on the other hand, can offer a modern alternative that can achieve similar effects with far less disruption to your daily life.
Some of the key benefits of Invisalign® include:
- No metal wires or brackets
- Minimal maintenance
- Easy removal for eating, drinking, brushing, and flossing
- Greater comfort throughout treatment
With this in mind, the best option for you will depend on the complexity of your case, your lifestyle, and your aesthetic preferences. During your first appointment, our team will review each approach in detail so you can make an informed decision that feels right.
What Is Invisalign® Teen?
Invisalign® Teen is just like traditional Invisalign®, except it’s designed for our younger patients. For teenagers and young adults, Invisalign® Teen can reposition the teeth, straighten the smile, and provide a more comfortable and functional bite. And just like original Invisalign®, Invisalign® Teen uses a series of clear removable aligners to gradually shift teeth into the desired position.
What Does the Invisalign® Treatment Involve?
After our experienced orthodontists have determined that Invisalign® may be well-suited for your needs, the process begins with a precise digital impression of your teeth. To complete this part of the treatment, our team usually uses the iTero® Element™ 5D Intraoral Scanner, one of the most sophisticated dental technology systems on the market. This model serves as the blueprint for crafting your custom series of clear aligners.
When your aligners are ready, you’ll receive a full series to take home. Each set is worn for one to two weeks before progressing to the next in the sequence, and every new aligner is slightly adjusted from the one before. Throughout treatment, our team will monitor your progress and make any necessary refinements. As always, we’ll also be here if any questions arise about your care.
How Long Does Invisalign® Take?
Most Invisalign® treatments take around 9 to 15 months to complete, though every smile is different. Your exact timeframe will depend on the complexity of your case, the number of aligners required, and your treatment goals. To maintain consistent movement and achieve the best possible outcome, it’s important to wear your aligners for at least 22 hours a day, removing them only to eat, drink, brush, and floss.
Will I Need to Wear a Retainer After Invisalign®?
After completing your Invisalign® treatment, wearing a retainer is essential to maintain your newly aligned teeth. Without it, your teeth may gradually shift back toward their original positions over time.
Your dentist will fit you with a custom retainer and explain how often and how long to wear it (generally every night while you sleep). This simple step should help protect your investment and keep your smile looking its best for years to come.

How to Choose the Best Invisalign® Dentist
When selecting an Invisalign® provider, be sure to ask about their training, experience, and how frequently they perform the treatment. Changing the position and alignment of your teeth requires a deep understanding of oral anatomy and a precise approach to achieve safe, predictable results. As such, “interviewing” your prospective orthodontist can help you gauge whether they have the proper qualifications.
At The Paddington Dental Surgery, every member of our dental team is extensively trained in both general dentistry and orthodontics. In addition, Dr. John Rosa Jr. and Dr. Lincoln Law are certified Invisalign® providers, a distinction awarded to dentists with ample experience in the Invisalign® system and a proven record of successful outcomes.
From our dentists to hygienists to office staff, we offer a kind, compassionate demeanour so patients of all ages can feel comfortable straightening their smiles in our care. When you choose The Paddington Dental Surgery for your Invisalign® experience, you can expect the best!
How Much Does Invisalign® Cost?
In Sydney, Invisalign® treatment typically ranges from around $4,500 to $12,000, depending on your individual needs and goals. The total cost will vary based on the complexity of your case and the length of your treatment.
Because cost can be a concern for many people, we offer a range of payment options developed with your convenience in mind. Please note that while Invisalign® is not always covered by insurance, certain private companies may provide full or partial coverage. In any case, our team will happily communicate with your provider or discuss your options with you to help you better understand your benefits.
We understand you may need time to make a decision, and fees associated with your plan will be discussed prior to beginning any treatment. Our friendly and knowledgeable dental team will provide additional details during your pressure-free appointment. No two smiles are alike, and we make every effort to ensure your outcome is as planned.
Are There Any Alternatives to Invisalign®?
While Invisalign® can be a wonderful option for many patients, alternatives such as traditional metal braces and other orthodontic systems may sometimes be more suitable. No matter your orthodontic needs, our dentists always strive to find the approach that aligns best with your dental health, lifestyle, and aesthetic preferences.
To determine the right fit, we’ll take the time to carefully assess your bite, alignment, and comprehensive oral health. Together, we can find a solution that delivers the most balanced, comfortable, and lasting results for your smile.
Additional Frequently Asked Questions
To help you decide if this option is right for you, our experienced cosmetic dentists have answered additional frequently asked questions (FAQs) about Invisalign®. If you have additional inquiries, feel free to schedule a consultation.
Are Invisalign® Aligners Completely Invisible?
Invisalign® aligners are not entirely invisible, and some people may be able to see that you are wearing them if they look closely. However, Invisalign® is designed to be very discreet and inconspicuous when worn. The aligners are transparent so your natural teeth can be seen through them, and they don’t have any metal pieces to obscure your smile during treatment.
What Are the Invisalign® Trays Made Of?
Each tray is made from a clear thermoplastic material that is durable, easy to clean, and customised to fit your needs. If you’ve ever used teeth whitening trays, the aligners resemble them in many ways.
How Often Will I Have Check-In Appointments for Invisalign®?
Routine appointments will be scheduled approximately every six weeks to allow your dentist to monitor your Invisalign® progress and provide your next sets of aligners. You will come in for these check-in visits throughout the duration of your treatment.
Will Invisalign® Affect My Speech?
It’s common to notice a slight lisp when you first start wearing your aligners. As your tongue adjusts to the trays, this generally fades quickly; most patients are able to speak normally again within just a few days.
What Can I Eat and Drink with Invisalign®?
There are usually no food or drink restrictions when undergoing Invisalign® treatment, since the aligners can be removed. That said, when consuming foods or beverages that are known to stain (such as berries, coffee, or tea), make sure to remove your aligners and brush your teeth before putting them back in. You should also take your trays out when drinking hot beverages, as hot liquids (even water) can potentially warp the plastic.
Can I Chew Gum with Invisalign®?
You’ll need to remove your aligners before chewing gum. Gum can easily stick to the trays or distort their shape, which may affect your progress. Many patients choose to skip gum altogether during treatment, as it can reduce the amount of time the aligners are worn each day. Additionally, gum containing sugar can lead to bacteria buildup and staining.
Can I Smoke with Invisalign®?
Smoking cigarettes while wearing the Invisalign® aligners can stain or discolor the plastic material, making them less discreet. For this reason, we recommend you stop smoking until you complete your treatment with Invisalign®.
Are Invisalign® Attachments Necessary?
Some Invisalign® patients require attachments, which are bonded to the teeth to keep the aligners in place and can aid in shifting the teeth to the proper positions. These small attachments are designed to blend seamlessly with the aligners and are typically not noticeable. Generally, attachments are reserved for more complex cases, but your dentist will determine whether they are necessary to support your aligners after a thorough evaluation of your needs.
Start Your Invisalign® Journey
If you’ve been thinking about straightening your teeth without the look or feel of braces, Invisalign® could be an ideal solution. We’d love to work with you to create a plan that suits your needs. Get in touch with The Paddington Dental Surgery today to arrange your visit.







