Dental Implants
Dental implants are one of the most reliable and natural-looking solutions for replacing missing teeth. Using advanced digital technology and our expertise in restorative dentistry, our team at The Paddington Dental Surgery can create implant restorations that are both functionally reliable and aesthetically pleasing.
Over the years, our dentists and specialist partners have successfully placed and restored thousands of dental implants. This depth of experience means you can feel confident that every stage of your care is being handled by professionals who have devoted their careers to achieving the best possible outcomes. Thanks to the surgical precision of our periodontists and oral surgeons, as well as the artistry and advanced technology we use in our restorative work, you’ll benefit from a team with an unmatched track record in implant dentistry.
Explore Topics On This Page:
- What Are Dental Implants?
- Dental Implant Benefits
- Dental Implant Candidates
- Dental Implants vs. Dentures
- Dental Implant Types
- Dental Implants Procedure
- Dental Implant Recovery
- Dental Implant Maintenance
- Dental Implant Longevity
- How to Choose an Implant Dentist
- Dental Implant Cost
- Alternatives to Dental Implants
- Additional Dental Implant FAQs
Schedule a Consultation
Learn more about our gentle, patient-first approach. To book your consultation, contact The Paddington Dental Surgery today.
What Are Dental Implants?
Dental implants are a modern, long-lasting solution for replacing missing teeth. Each implant consists of a titanium post that functions like a natural tooth root and a custom-designed restoration (such as a crown, bridge, or denture) that recreates the visible tooth. As the implant integrates with your jawbone, it becomes a stable and permanent part of your smile. Implants look and feel natural, and they only require the same daily care as your other teeth.
At The Paddington Dental Surgery, we work closely with experienced periodontists and oral surgeons who perform the surgical stage of treatment, including implant placement and, when necessary, bone grafting to restore or reinforce the jawbone. This collaborative approach ensures your implants have the strongest possible foundation for long-term success.
Once healing is complete, our team designs and places the final custom restoration that is meticulously crafted to blend seamlessly with your smile and provide exceptional comfort, function, and aesthetics.
What Benefits Can Dental Implants Offer?
Patients who have dental implants can expect to see numerous benefits for their dental health, not to mention for the appearance of their smile. With dental implants, you can look forward to:
- Permanent replacement for missing teeth
- No additions to your normal oral hygiene routine – just the usual brushing and flossing
- Natural-looking appearance
- No possibility of movement or slippage along the gums
- Feels like a natural tooth
- Self-supportive dental crowns that do not have an effect on adjacent teeth
- Gum and bone retention by protecting against decay
While these factors all contribute to our happy patients, we are most proud to provide the overall improvement in self-confidence that results from dental implants. From improvements to chewing and speaking to the aesthetic renewal dental implants provide, our patients can’t wait to smile after the procedure.
Am I a Candidate for Dental Implants?
When it comes to candidacy for dental implants, there are a few important factors to consider. Our dentists will take time during your consultation to carefully evaluate your needs and make sure implants are the right choice for you.
Those eligible for dental implants should have:
- Good general health – Medical conditions that interfere with healing may limit implant success. If this is the case, we can discuss alternative options that can still provide reliable results.
- Healthy gums – Your gums should be free from active infection or periodontal disease.
- Adequate jawbone density – Because implants are anchored into the jaw, enough bone is needed to support and fuse with the implant for long-term stability.
If dental implants are not the best choice for you, our team will be glad to suggest alternative treatments.
Dental Implants vs. Dentures
While traditional dentures are still used, many patients find that dental implants provide a more comfortable and reliable option. Compared to removable dentures, implants can offer advantages such as:
- Confidence when eating, drinking, and smiling – Implants are designed to look and function like natural teeth, helping you enjoy everyday moments without worry.
- Easy care – Implants can be brushed and flossed normally – without the extra maintenance that dentures often require.
- Stable, natural feel – Anchored into the jawbone, implants function like real teeth and do not move along the gums.
- Long-term comfort – Unlike dentures, which may loosen as the jaw changes over time, implants can provide lasting stability and support.
If a full set of dental implants is outside your budget, implant-supported dentures may be a suitable alternative. We are happy to discuss all your options during your initial consultation so that you can choose the best method for your needs and goals.
What Should I Expect During the Dental Implants Procedure?
Step 1: Planning
At The Paddington Dental Surgery, your implant procedure will begin with an oral evaluation. Once it’s been determined that dental implants are right for you, we’ll create a detailed map of your mouth to determine an ideal position for the implants.
Step 2: Implant Placement
In this stage, an oral surgeon carefully places a strong titanium post into the jawbone. Over the next three to six months, a natural process called osseointegration occurs, during which the implant fuses securely with the bone. While this healing takes place, a temporary crown is often attached so you can enjoy a functional, natural-looking smile in the meantime.
Step 3: Final Restoration
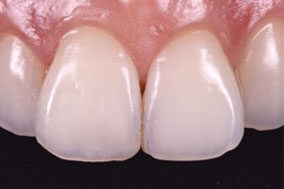
Once the implant has fused to the bone, a custom-made crown will be attached. Each crown is carefully crafted by our in-house ceramist for a precise fit and colour-matched to blend seamlessly with your surrounding teeth. After the finishing touches, your dental implants should look and feel so natural that you may even forget which teeth were ever replaced.
How Do I Care for My Dental Implants?
Caring for your dental implants is typically easy; in most cases, it’s sufficient to simply treat them the same as you would natural teeth. You should brush twice daily and floss once daily, as well as visit your dentist every six months (or as often as they recommend). By maintaining excellent oral hygiene, you can give your dental implants the security and foundation they need to remain healthy, strong, and functional for life. We can also provide additional care tips at your consultation and at any appointment. Remember: your oral health is our passion!

How Long Do Dental Implants Last?
Dental implants can last for as long as 20 or 30 years, if not an entire lifetime; many people have no need to replace their implants. It’s important to take good care of your restorations to make sure they last as long as possible. That means brushing and flossing daily and visiting the dentist regularly.
In the rare event that a dental crown chips, cracks, or experiences another type of problem, we can repair or replace the crown. With this in mind, issues affecting the implants are unlikely, as we take great care when placing them and use the highest-quality materials available.
How Do I Choose an Implant Dentist?
There are many ways to go about selecting an implant dentist that best serves your needs. In addition to someone with the right training, education, and skills, you should also seek someone who is attentive, compassionate, and understands your smile goals. Scheduling a consultation can provide a wealth of information. This meeting is a chance to ask questions, get a feel for a dentist’s philosophy and personality, and determine if you’re comfortable with their approach. We recommend asking:
- Are you licensed in dentistry?
- Do you have specific training in placing dental implants?
- How often do you perform this procedure?
- Do you have any dental implant before-and-after photos I could view of your work?
You are also welcome, and encouraged, to ask questions specific to your treatment plan. We hope this process gives you additional insight that makes you more confident in selecting an implant dentist.
One of the factors that helps The Paddington Dental Surgery stand out among other practices is our ability to perform many types of oral surgery in-house, without the need to refer you to another office for treatment. Our experienced clinicians can perform wisdom teeth removal and other teeth extraction procedures, as well as surgical crown lengthening and other treatments. We can also perform on-site dental implantation for most patients. Moreover, our practice is equipped with some of the most advanced diagnostic and treatment dental technology available, including sedation dentistry techniques, to help you achieve safe, effective oral surgery with virtually no discomfort during treatment.
How Much Do Dental Implants Cost?
The cost of dental implants depends on the number of implants you need, the complexity of your treatment plan, whether you will need bone grafting, and other factors unique to you.
We believe in cost transparency so that you can make the best health care decision for your lifestyle and budget. At your initial consultation, our dentists can help you navigate dental insurance claims to ensure the payment process is as straightforward as possible.
Are Dental Implants Covered by Insurance?
Every dental insurance plan is different. The best way to determine if your provider partially or fully covers the cost of your dental implant treatment is to talk to your insurance agent. Our staff is here to make your experience as pleasant as possible, so please don’t hesitate to ask any questions about navigating your benefits.
Are There Alternatives to Dental Implants?
An alternative to dental implants that we may recommend is a dental bridge. Like dental implants, bridges are designed to replace missing teeth with results that look and feel natural to provide better functionality and an enhanced appearance. However, they differ in that they are not surgically implanted. Dental bridges are traditionally composed of an artificial tooth or teeth to replace missing teeth, supported by two crowns on each side. A dental bridge can be preferable for patients who may not be candidates for dental implants and for those who have several teeth in a row that are missing. These treatments are often better than traditional dentures because there is much less possibility that the bridge will move or slip along the gums.
Some patients may qualify for implant supported dental bridges, which can add even greater strength to the bridge and virtually eliminate the risk of damaging or wearing down adjacent teeth.
If you learn that you are not a good candidate for dental implants, traditional dental bridges may be a great alternative for you. During your initial consultation, we will discuss all options with you to find the best possible treatment for your needs.
Additional Frequently Asked Questions
As a service to our patients, our extensively trained dentists have provided answers to some of the most commonly asked questions about dental implants. We hope this resource proves useful to you. If you have additional inquiries, or if you would like to schedule a consultation, please reach out to our friendly team.
Are Dental Implants Safe?
Dental implants are considered to be the gold-standard solution to replacing missing teeth. That said, it’s vitally important to choose a dentist who is extensively trained in implant placement to preserve the health of your oral structures and to achieve a result that is comfortable and will last the test of time. When choosing someone with the right qualifications, you can feel confident they have your safety and well-being top of mind.
Will I Need Bone Grafting Before Getting Dental Implants?
Bone grafting may be recommended before dental implant surgery to strengthen the jawbone and create the best possible foundation for your implants. This additional support can ensure the implant posts fuse securely with the bone for long-lasting stability. For patients who only need a small graft, it may be possible to complete this step at the same time as implant placement. When more extensive grafting is required, a separate procedure is usually performed first, giving the bone time to heal and grow before the implants are placed.
Should I Choose Dental Implants, an Implant Bridge, or Traditional Dentures?
The right restorative option for you will vary depending on a wide range of factors, including your oral health, budget, lifestyle, and other considerations. We will give you the information you need to make the right decision for you. And while we can provide guidance and suggestions, the ultimate choice about how to proceed will be yours.
How Long Does Dental Implant Surgery Take?
Dental implant surgery can take several hours to complete, depending on whether any initial work is needed and how many implants are being placed. The procedure may also need to be performed over the course of multiple visits. Since we have an in-house oral surgeon, the dental implant process can often be performed more efficiently, as patients will typically not need to go to an outside specialist, which is common with dental implant surgery. During the planning stage, your dentist will provide a look at what you can expect with your dental implant timeline.
What Complications Are Associated with Dental Implants?
As with any surgery, dental implants come with some degree of risk. Our team takes every precaution to minimise your chance of complications, and will provide detailed post-operative care instructions to ensure a smooth recovery. Although rare, it is possible to experience certain complications after dental implant surgery, including infection at the implant site, injury to the surrounding structures, and implant failure. Due to the complex nature of placing implants, it is essential for the success of your procedure to find a highly qualified specialist to ensure your surgery is performed with the utmost precision and safety.
Can I Eat Normally After the Procedure?
Once the dental implants have healed, you should be able to eat all your favourite foods with confidence. Immediately following the procedure, you will need to follow a soft foods diet for a short period, and you will need to be selective about your food items to allow the implants to effectively bond with bone structure. While some patience is necessary, the results should be well worth the brief period of limitations. If you have any questions about which foods you can eat and which you should avoid, we will be happy to provide details.
Enquire About Dental Implants
To learn more about dental implants and our other reconstructive dentistry options, we welcome you to contact The Paddington Dental Surgery today.
Medical References*
National Library of Medicine





