Smile Gallery
We are committed to high-quality clinical care and a thoughtful, individualised approach for every patient. Our before-and-after gallery features some examples of care provided in our practice.
Images are shared with informed consent from patients, and a wider selection of cases is available to view at our clinic.
Treatment suitability, risks and benefits can only be determined in consultation with a registered dentist. For further details on risks and procedures, please visit here. If you would like to explore your individual suitability and options, you are welcome to book a consultation.
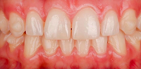
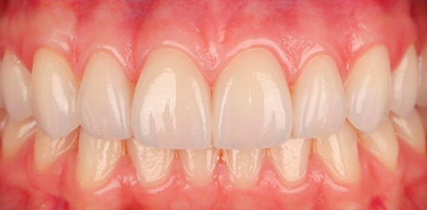
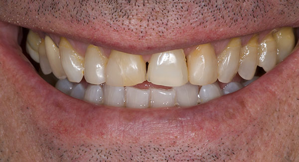
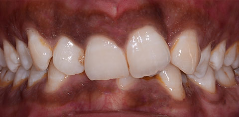
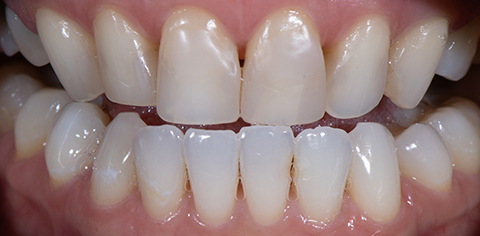
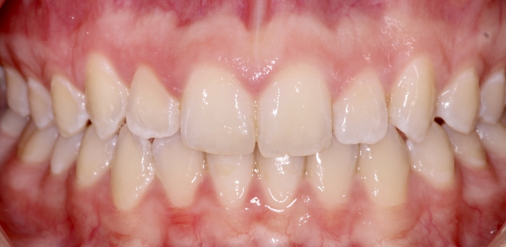
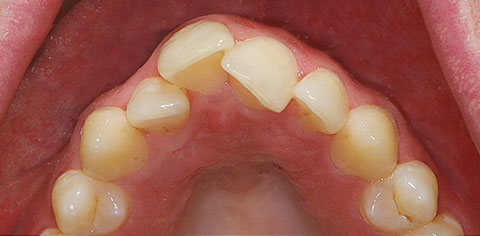
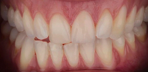
Patient 1
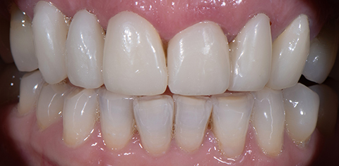
After image taken approximately two weeks after procedure.


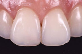
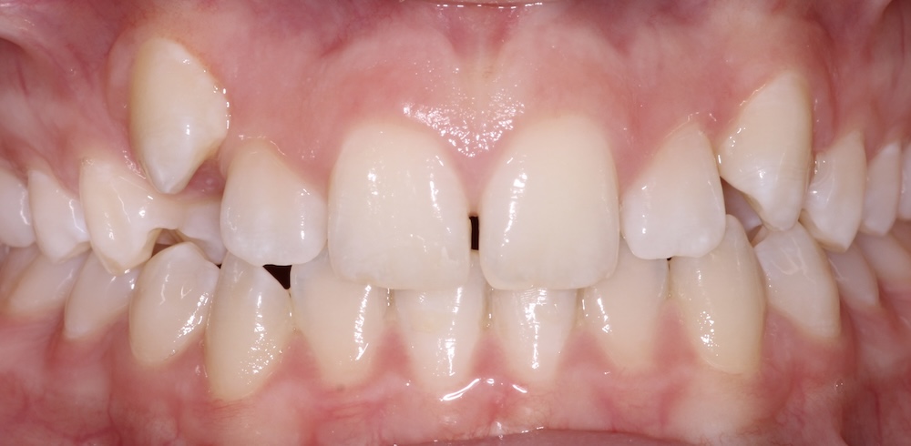
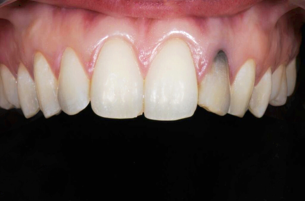
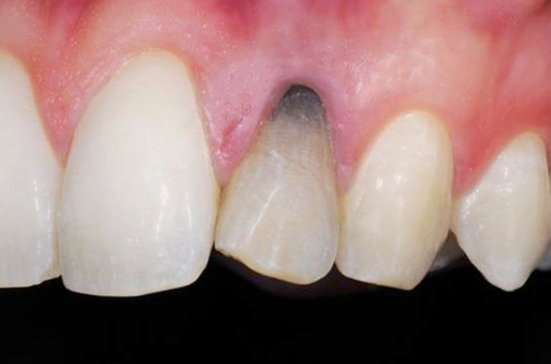
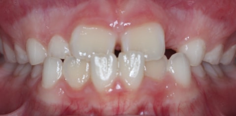
Patient 2
After image taken approximately two weeks after procedure.


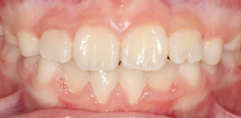
Patient 3
After image taken approximately two weeks after procedure.


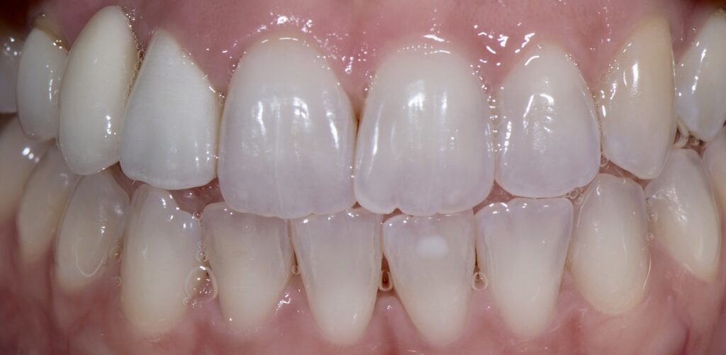
Patient 4
After image taken approximately two weeks after procedure.


Patient 5
After image taken approximately two weeks after procedure.


Patient 6
After image taken approximately two weeks after procedure.


Patient 7
After image taken approximately two weeks after procedure.


Patient 8
After image taken approximately two weeks after procedure.


Patient 9
After image taken approximately two weeks after procedure.


Patient 10
After image taken approximately two weeks after procedure.


Patient 11
After image taken approximately two weeks after procedure.


Patient 12
After image taken approximately two weeks after procedure.


Patient 13
After image taken approximately two weeks after procedure.


Patient 14
After image taken approximately two weeks after procedure.


Patient 15
After image taken approximately two weeks after procedure.



Patient 16
After image taken approximately two weeks after procedure.


Patient 17
After image taken approximately two weeks after procedure.


Patient 18
After image taken approximately two weeks after procedure.


Patient 19
After image taken approximately two weeks after procedure.




Patient 20
After image taken approximately two weeks after procedure.


Patient 21
After image taken approximately two weeks after procedure.




Patient 22
After image taken approximately two weeks after procedure.


Patient 23
After image taken approximately two weeks after procedure.


Patient 24
After image taken approximately two weeks after procedure.


Patient 25
After image taken approximately two weeks after procedure.


Patient 26
After image taken approximately two weeks after procedure.


Patient 27
After image taken approximately two weeks after procedure.


Patient 28
After image taken approximately two weeks after procedure.


Patient 29
After image taken approximately two weeks after procedue.


Patient 30
After image taken approximately two weeks after procedure.


Patient 31
After image taken approximately two weeks after procedure.


Have questions about which technique is right for you? We can help. Contact our practice to learn more about each treatment we offer and to schedule a consultation with one of our extensively trained cosmetic dentists.