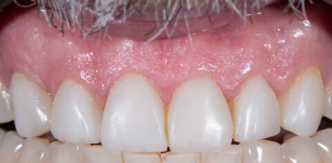
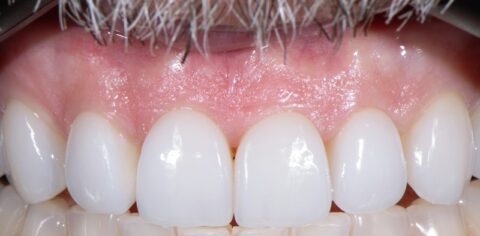
Dental Crowns
Damage and decay can mar the beauty of the smile and the function of the mouth. Depending on your individual needs and goals, our skilled cosmetic dentist may recommend a porcelain crown to preserve as much of the natural tooth structure as possible. At The Paddington Dental Surgery, your care, comfort, and results are our highest priorities. With this goal in mind, we offer state-of-the-art porcelain dental crowns and same-day technology to give you an optimal outcome in the shortest time possible.
Schedule a Consultation
Learn more about our gentle, patient-first approach. To book your consultation, contact The Paddington Dental Surgery today.
What Is a Dental Crown?
A dental crown is a tooth-shaped “cap” that is placed over a damaged or weak tooth to improve its strength, quality, and appearance. If a cavity becomes too significant for a traditional filling to address, a dental crown may be a more effective choice – one that can save a tooth from extraction.
Dental crowns are also used as part of the dental implant procedure, where they’re placed atop the post and serve as your new, natural-looking tooth. Additionally, they play an important role in the implant-supported denture treatments, where multiple crowns are attached to implants to restore a full arch of teeth.
What Benefits Can Porcelain Crowns Provide?
Strength and beauty are just two of the many benefits porcelain dental crowns can offer. Other advantages include:
- Restoration of severely damaged or decayed teeth
- Enhancement of the structural support and the aesthetic value of the treated tooth
- Coverage for dental implants, resulting in an outcome that appears and feels natural
- Renewal of the appearance of misshapen teeth
- Protection from further damage as well as wear and tear
- Reparation of fractures, cracks, and other dental concerns
Am I A Candidate for Dental Crowns?
If you believe you have a dental concern that could benefit from treatment, our experienced dentists can evaluate your problem and determine if a porcelain crown can help you effectively address the issue. Dental crowns are often a better choice than extracting, or “pulling,” the affected tooth, as the tooth structure helps to preserve a strong, supportive jawbone. Additionally, a crown typically will be a more affordable choice than some other restorative dentistry options. When you arrive for your initial consultation, we will discuss the available techniques and help you find the ideal approach for your needs and goals.
What Is the Dental Crown Procedure Like?
At The Paddington Dental Surgery, we take a meticulous and customised approach to dental crown treatment. While some procedures may require two appointments to complete, the process is designed to deliver the highest standard of fit, comfort, and aesthetics.
When you arrive for your procedure, we begin by taking highly accurate digital or physical impressions of your teeth and bite. These are used to create a precise model, which is then sent to our trusted dental laboratory. For patients who want the ultimate in personalisation, we also work with our in-house ceramicist, who can craft your crown with perfect attention to shade, translucency, and shape, ensuring it blends seamlessly with your natural teeth.
If the crown is restoring a damaged or weakened tooth, the tooth will first be carefully cleaned and reshaped to create a stable foundation. Our goal is always to preserve as much of the natural tooth as possible, keeping your treatment minimally invasive while still aiming to ensure strength and longevity. If the crown is part of a dental implant, we will restore the implant once the surgical stage and healing are complete.
Crowns can be created from a variety of materials (including porcelain, zirconia, titanium, or even gold) chosen based on your needs and goals. Regardless of the material, your crown will be designed to provide both durability and a natural appearance.
Why We Recommend All-Porcelain Crowns
Although we offer crowns in a range of materials, we have a particular passion for all-porcelain crowns. These restorations are:
- Biomimetic – they recreate the natural structure, function, and beauty of your tooth as closely as possible.
- Non-toxic and biocompatible – free of metal, making them gentle on surrounding tissues and healthier for long-term use.
- Highly aesthetic – porcelain mimics the translucency and light-reflecting qualities of natural enamel, giving results that are virtually indistinguishable from your own teeth.
By combining these advanced materials with the skill of our dentists and experienced in-house ceramicist, we are able to design crowns that are not only strong and long-lasting, but also beautifully natural.
At The Paddington Dental Surgery, we love creating porcelain crowns because they embody everything we believe in: health, longevity, and world-class aesthetics.
How Much Do Dental Crowns Cost?
At The Paddington Dental Surgery, the cost of dental crowns depends on several factors, including the number of crowns being placed; the extent of treatment to prepare the area; and whether or not additional procedures, such as dental implants or bridges, are to be incorporated.
During your initial consultation, we will provide you with a concrete quote for your care. Please feel free to direct further questions to our friendly staff. We will gladly assist you with financial- or dental insurance-related inquiries.

Get in Touch With Us
Want to know more about how dental crowns can enhance your smile? Contact our practice today to ask our friendly team questions or to schedule a consultation.







