Orthodontics
A beautifully aligned smile can make a difference at any stage of life. For many patients, orthodontics can be the key. This area of dentistry focuses on straightening teeth and correcting the way the jaws fit together.
Our experienced Orthodontist offers orthodontic care for children, teens, and adults. Whether your child needs extra space for developing teeth, or you’re considering clear aligner options like Invisalign® to enhance your own smile, we can guide you toward the solution that best supports both your oral health and confidence.
Explore Topics On This Page:
Schedule a Consultation
Learn more about our gentle, patient-first approach. To book your consultation, contact The Paddington Dental Surgery today.
Benefits of Orthodontic Treatment
When performed by a skilled dentist, orthodontic treatments can deliver a number of benefits:
- A more confident, attractive smile. Orthodontic options can significantly enhance the appearance of your teeth and facial balance, giving you a smile that feels natural, even, and confident.
- Improved oral health. When teeth are properly aligned, they’re easier to brush and floss. This can reduce the risk of plaque build-up, tooth decay, and gum disease. In other words, straighter teeth don’t just look better – they stay healthier, too.
- Better bite and function. A balanced bite helps your teeth meet correctly, reducing the risk of uneven wear, chipping, or grinding. Proper alignment can also prevent jaw pain and discomfort, making everyday activities like chewing and speaking more comfortable.
- Preventive benefits for children. Early orthodontic care can help guide jaw growth and create the right conditions for adult teeth to develop in a healthy position. By addressing these concerns early, orthodontic options may reduce the need for more complex (and often more costly) dental work later in life.
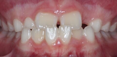
What Concerns Can Orthodontic Treatments Address?
Orthodontic treatments can address a variety of common issues, such as:
- Crooked or crowded teeth
- Gaps between teeth
- Overbites, underbites, crossbites, and open bites
- Jaw misalignment (malocclusion) in children and adults
- Difficulty brushing or flossing between crooked teeth
- Frequently biting inner cheeks or tongue due to misaligned teeth
- Speech issues resulting from crooked teeth
- Jaw pain or fatigue when chewing
- Grinding or clenching of teeth
If you’ve noticed any of these concerns, we encourage you to speak with our dentists about potential orthodontic solutions.
Orthodontic Treatment Options
At The Paddington Dental Surgery, we combine advanced technology with a gentle, personalised approach to deliver results that are both beautiful and lasting. Whether you’re looking for a discreet option, a more traditional approach, or care for your child, we’ll recommend a treatment that fits your needs and lifestyle.
- Clear aligners (Invisalign®) – Invisalign® is one of the most advanced and discreet ways to straighten teeth. Using a series of virtually invisible, custom-made aligner trays, Invisalign® gently guides teeth into the correct position. The aligners are removable, making it easy to eat, drink, brush, and floss as normal.
- Braces – Traditional braces remain a reliable and highly effective choice, especially for more complex orthodontic needs.
- Retainers – After treatment, retainers are essential to maintain your results and keep your teeth in their new position. These can be removable or fixed discreetly behind the teeth, depending on your needs.
Orthodontics for Children
Does My Child Need Orthodontic Treatment?
Not every child will need braces or early orthodontic care, but an evaluation can help you know for sure. Signs your child may benefit from treatment include crowding, spacing problems, difficulty chewing, thumb-sucking habits, or noticeable overbites/underbites. Even if these issues aren’t obvious, routine check-ups allow us to identify subtle alignment or bite concerns early, often before they become more complex. Early, gentle treatment can guide the growth of the jaw and teeth, reduce the need for extensive work later on, and support your child’s long-term oral health.
Why Should I Consider Early Orthodontic Treatment for My Child?
Addressing alignment issues early can often make orthodontic care simpler and more effective later on. Early treatment can help correct or minimize developing bite and alignment problems—known as malocclusion (“bad bite”). When the jaws or arches don’t develop in an ideal position, children may experience difficulties with chewing or speaking, jaw discomfort, or premature tooth wear that can increase the risk of decay. In some cases, early or two-phase orthodontic care can reduce or even prevent these concerns.
That said, not every child needs early orthodontics. Our team will thoroughly assess your child’s unique situation and recommend the most appropriate course of action.
Signs Your Child May Need Orthodontic Treatment
If your child is around the age of seven, a first orthodontic visit can be a wonderful way to identify potential concerns. At this stage, permanent teeth often begin replacing baby teeth, which can make it easier to spot problems before they become more serious.
Other signs your child may benefit from an evaluation include:
- Baby teeth falling out earlier than expected
- Difficulty eating, chewing, or speaking
- Prolonged thumb-sucking habit
- Crowded or irregularly spaced teeth
- Jaw shifting or making sounds during movement
- Frequently biting cheeks or the roof of the mouth
- Bite that appears uneven, or teeth that don’t meet when closed
- Teeth that appear overly large or small
An early evaluation doesn’t always lead to treatment, but it gives us the chance to guide your child’s dental development in a positive direction. Our Sydney dentists provide honest advice and personalised care so you can feel confident about every stage of your child’s smile.
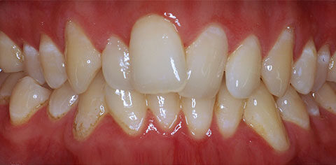
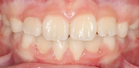
What Can I Expect During My Orthodontic Treatment?
Every orthodontic journey is unique, and our team will be with you each step of the way. Here’s what you can expect from your orthodontic treatment:
Invisalign®
The Invisalign® process begins with a digital scan of your teeth with the iTero® Element™ 5D Intraoral Scanner. This impression will be used to create a series of virtually invisible aligners that fit seamlessly into your daily routine. Each set is worn for about two weeks before moving to the next, with every stage gently guiding your teeth closer to their ideal position. Because the changes are gradual, discomfort is usually minimal, and you’ll be able to remove the aligners when eating, drinking, brushing, or flossing.
Traditional Braces
Braces use small brackets that are carefully attached to the teeth, connected by a fine wire and elastic bands. Over time, gentle adjustments are made during routine visits, encouraging the teeth to shift into better alignment. Today’s braces are smaller, more comfortable, and developed to achieve reliable results (even in more complex cases).
If you’re interested in a more comprehensive smile rejuvenation, options like teeth whitening or gum reshaping may be added to your care. No matter your individual needs, dentists will provide ongoing support and answer your questions.
Will I Need to Wear a Retainer After My Orthodontic Treatment?
Wearing a retainer is an important step in protecting the beautiful results of your orthodontic treatment. Retainers help keep your teeth in their new position as your smile settles, encouraging your hard work to last for years to come.
Our dentists will provide clear, personalised guidance on how often and how long to wear your retainer, so you feel confident about caring for your results. With the right aftercare, you can enjoy a straighter, healthier smile well into the future.
Orthodontic Cost and Insurance
How Much Does Orthodontics Cost?
Pricing for your orthodontic treatment will vary depending on the specific technique used. At our practice, the cost of Invisalign® can range anywhere between $4,500 and $12,000, but it really depends on your treatment plan. There are many factors that can affect the price, and we will be able to give a more accurate quote during the consultation. For your convenience, we offer a wide variety of payment options, including flexible financing methods.
If you have any questions or concerns regarding financing, please do not hesitate to contact our office. A knowledgeable member of our team will be happy to assist you over the phone or in person during the consultation.
Does Insurance Cover Orthodontics?
Patients with an insurance plan that includes benefits for orthodontics can usually expect their orthodontic treatment to be fully, or at least partially, covered by insurance. Most insurance companies classify Invisalign® as an orthodontic treatment, so it would be included in those benefits as well.
Please understand, however, that every patient’s insurance policy is different. Our team can help you find out if coverage is available for your specific orthodontic treatment.
Contact The Paddington Dental Surgery
To learn more about our orthodontic options for children or adults, or to begin your journey to a healthier, more confident smile, we welcome you to get in touch with our friendly team today.







